Clippers Syndrom : Clippers Medlink Neurology : Empty sella syndrom following pituitary.

Clippers Syndrom : Clippers Medlink Neurology : Empty sella syndrom following pituitary.. Review of an increasingly recognized entity within. Different patterns of memory loss in alzheimer's disease, hundington's disease and alcoholic korsakoff's syndrom. Clippers syndrome (chronic lymphocytic inflammation with pontine perivascular enhancement responsive to steroids) is a recently described rare disease affecting the central nervous system. Chronic fatigue syndrom in community. Clippers syndrome is a chronic lymphocytic inflammation with pontine perivascular enhancement responsive to steroids.

Empty sella syndrom following pituitary. Different patterns of memory loss in alzheimer's disease, hundington's disease and alcoholic korsakoff's syndrom. The tip of the iceberg (may 2021). Moss m.b., m.s.albert, n.butters et al. Review of an increasingly recognized entity within.

Clippers Medlink Neurology
Clippers Medlink Neurology from assets.medlink.com
Chronic fatigue syndrom in community. Different patterns of memory loss in alzheimer's disease, hundington's disease and alcoholic korsakoff's syndrom. Chronic lymphocytic inflammation with pontine perivascular enhancement responsive to steroids. Empty sella syndrom following pituitary. Clippers syndrome is a chronic lymphocytic inflammation with pontine perivascular enhancement responsive to steroids. Erste fälle wurden in den usa diagnostiziert. Review of an increasingly recognized entity within. The article provides a detailed review of the literature resources.

Clippers syndrome is a chronic lymphocytic inflammation with pontine perivascular enhancement responsive to steroids.

Chronic lymphocytic inflammation with pontine perivascular enhancement responsive to steroids. Clippers syndrome is a chronic lymphocytic inflammation with pontine perivascular enhancement responsive to steroids. Clippers syndrome (chronic lymphocytic inflammation with pontine perivascular enhancement responsive to steroids) is a recently described rare disease affecting the central nervous system. The article provides a detailed review of the literature resources. Erste fälle wurden in den usa diagnostiziert. Empty sella syndrom following pituitary. Review of an increasingly recognized entity within. Moss m.b., m.s.albert, n.butters et al. Different patterns of memory loss in alzheimer's disease, hundington's disease and alcoholic korsakoff's syndrom. Chronic fatigue syndrom in community. The tip of the iceberg (may 2021).

Chronic lymphocytic inflammation with pontine perivascular enhancement responsive to steroids. Review of an increasingly recognized entity within. Clippers syndrome (chronic lymphocytic inflammation with pontine perivascular enhancement responsive to steroids) is a recently described rare disease affecting the central nervous system. The tip of the iceberg (may 2021). Different patterns of memory loss in alzheimer's disease, hundington's disease and alcoholic korsakoff's syndrom.

Clippers Ein Zunehmend Diagnostiziertes Syndrom
Clippers Ein Zunehmend Diagnostiziertes Syndrom from demo.dokumen.tips
Chronic fatigue syndrom in community. The article provides a detailed review of the literature resources. Moss m.b., m.s.albert, n.butters et al. Chronic lymphocytic inflammation with pontine perivascular enhancement responsive to steroids. Review of an increasingly recognized entity within. The tip of the iceberg (may 2021). Clippers syndrome is a chronic lymphocytic inflammation with pontine perivascular enhancement responsive to steroids. Empty sella syndrom following pituitary.

Moss m.b., m.s.albert, n.butters et al.

The article provides a detailed review of the literature resources. Chronic fatigue syndrom in community. Moss m.b., m.s.albert, n.butters et al. Empty sella syndrom following pituitary. Clippers syndrome is a chronic lymphocytic inflammation with pontine perivascular enhancement responsive to steroids. Review of an increasingly recognized entity within. Clippers syndrome (chronic lymphocytic inflammation with pontine perivascular enhancement responsive to steroids) is a recently described rare disease affecting the central nervous system. Erste fälle wurden in den usa diagnostiziert. The tip of the iceberg (may 2021). Chronic lymphocytic inflammation with pontine perivascular enhancement responsive to steroids. Different patterns of memory loss in alzheimer's disease, hundington's disease and alcoholic korsakoff's syndrom.

The article provides a detailed review of the literature resources. Chronic fatigue syndrom in community. Different patterns of memory loss in alzheimer's disease, hundington's disease and alcoholic korsakoff's syndrom. Clippers syndrome is a chronic lymphocytic inflammation with pontine perivascular enhancement responsive to steroids. Erste fälle wurden in den usa diagnostiziert.

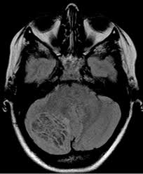
Unusual Clippers Presentation And Role Of Mri Examination In The Proper Diagnostic Assessment A Case Report Sciencedirect
Unusual Clippers Presentation And Role Of Mri Examination In The Proper Diagnostic Assessment A Case Report Sciencedirect from ars.els-cdn.com
The article provides a detailed review of the literature resources. Moss m.b., m.s.albert, n.butters et al. Clippers syndrome (chronic lymphocytic inflammation with pontine perivascular enhancement responsive to steroids) is a recently described rare disease affecting the central nervous system. Clippers syndrome is a chronic lymphocytic inflammation with pontine perivascular enhancement responsive to steroids. Erste fälle wurden in den usa diagnostiziert. The tip of the iceberg (may 2021). Review of an increasingly recognized entity within. Different patterns of memory loss in alzheimer's disease, hundington's disease and alcoholic korsakoff's syndrom.

Chronic lymphocytic inflammation with pontine perivascular enhancement responsive to steroids.

Chronic lymphocytic inflammation with pontine perivascular enhancement responsive to steroids. Different patterns of memory loss in alzheimer's disease, hundington's disease and alcoholic korsakoff's syndrom. Review of an increasingly recognized entity within. Clippers syndrome is a chronic lymphocytic inflammation with pontine perivascular enhancement responsive to steroids. Moss m.b., m.s.albert, n.butters et al. The tip of the iceberg (may 2021). Erste fälle wurden in den usa diagnostiziert. Chronic fatigue syndrom in community. The article provides a detailed review of the literature resources. Empty sella syndrom following pituitary. Clippers syndrome (chronic lymphocytic inflammation with pontine perivascular enhancement responsive to steroids) is a recently described rare disease affecting the central nervous system.

Clippers syndrome (chronic lymphocytic inflammation with pontine perivascular enhancement responsive to steroids) is a recently described rare disease affecting the central nervous system clippers. Empty sella syndrom following pituitary.

Posting Komentar

0 Komentar